Partner

Blog

HelpDesk

Medical - Machine Learning and AI
Energy

Overview

Artificial intelligence (AI) and machine learning are slowly infiltrating our daily lives: think facial recognition in photos, Alexa and voice command, and the tailored advertisements that appear on the websites you browse. AI is likely to become increasingly integrated with technologies as they are released over time, and healthcare is no exception. One sector which is set to benefit the most from these advances, is medical imaging. We are having some strong solutions for medical field :

1.Melanomets detection using MRI

i) The patient had moved at time of MRI so movement artifacts were there (blurred MRI). So we had gone for contrast images.

ii) All images were taken initially which actually reduce the accuracy. So we split it into 3 axis viz axial, saggital, and coronal with accuracy for each set.

The input is dicom images. The dicom images are separated into 3 axis using image orientation i.e. axial, saggital and coronal. The separation of images uses pydicom library. Then it is classified into normal and abnormal cases. Later Image segmentation is done to identify pixels where the Melanomets occur. The measurement is taken for abnormal ones. K fold validation done on the algorithm for K=2, 10 i.e. for 50% and 10% samples. It takes images in batch size of 32 and stops between 17-20 epochs.

2. Glaucoma Detection

(i) The number of images was less. So we went for image augmentation, i.e. arbitrarily rotating, shifting, transposing, cropping etc.

(ii) The images were of different sizes so input image size shown a mismatch in CNN. So we padded the images with zero/black. Image resizing can’t be done as it affects aspect ratio and could affect cup to disc ratio value.

Glaucoma Detection
Glaucoma Detection Glaucoma Detection

The input is retinography images. The retinography images are classified into early, mild severe and normal. Then cup to disc ratio is calculated. The cup and disc are marked using masks. Then the training is done on unet for identifying the cup and disc. The measurement of cup and disc is done using opencv and canny and then its ratio is used for classification.

3. Heart Sound detection

The input is electro stethoscope sound. The sound is converted to spectrogram and spectrogram images are classified into 4 classes. The input image is set to 256 × 256. The spectrogram is fed to a 12 layer CNN network to do the prediction.

Heart Sound detection Heart Sound detection
Heart Sound detection Heart Sound detection

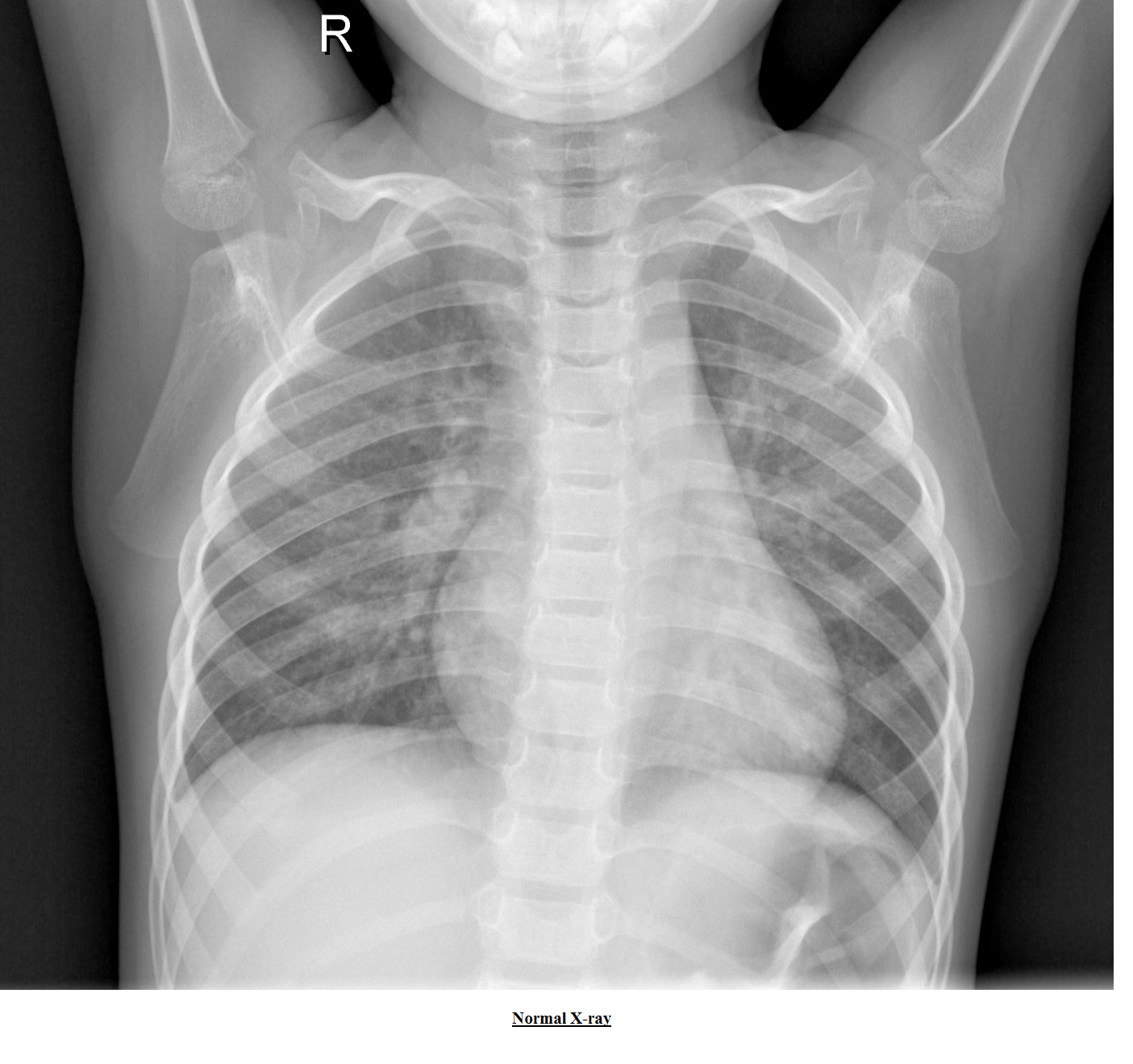
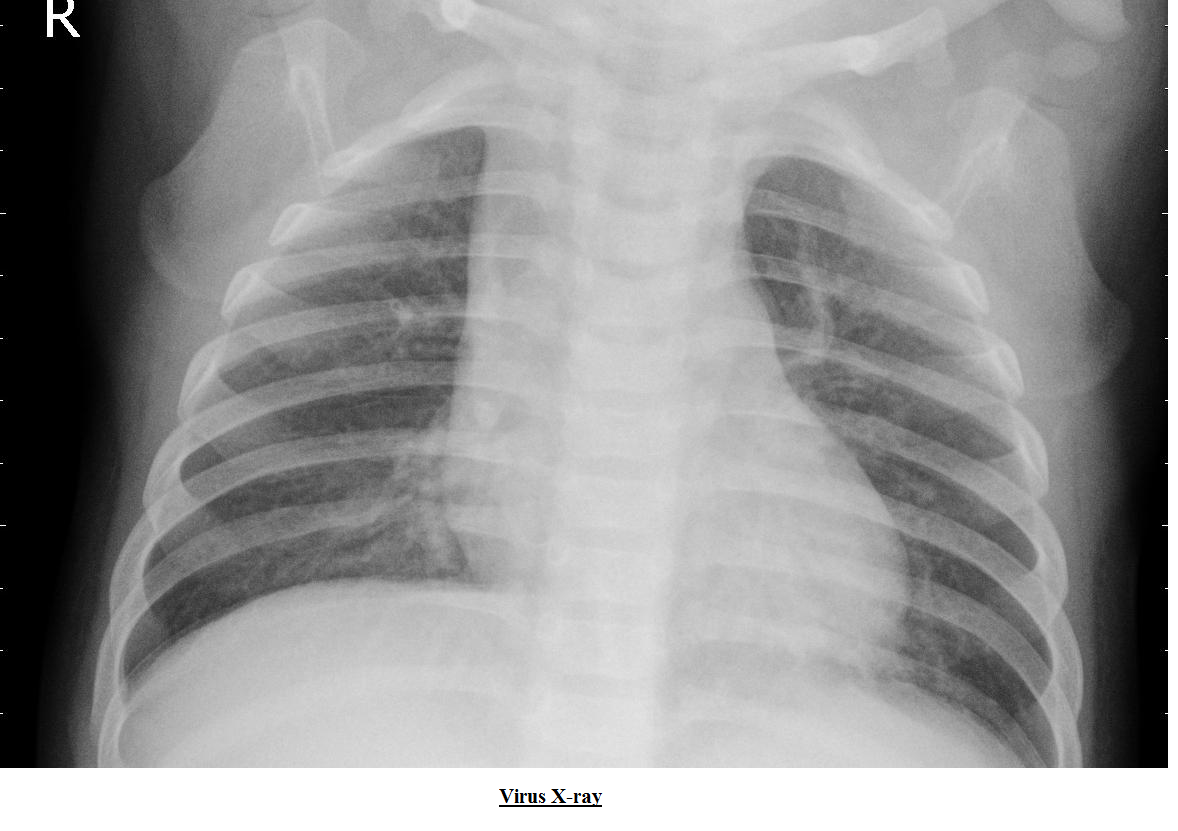
4. Pneumonia detection using x-rays

The input is various X-ray images. The X-ray images are classified into abnormal and normal. Due to less number of images, the image augmentation is done to boost the performance of CNN.

Heart Sound detection Heart Sound detection
Heart Sound detection Heart Sound detection

5. Classification of Normal and Epileptic EEG Signal

Epilepsy is one of the important brain disorders, characterized by sudden recurrent and transient disturbances of mental function and movements of body, which is caused from excessive neuronal activity due to highly frequent electrochemical impulses from the neurons. This excessive discharge is shown in EEG as epileptic spikes which are complementary source of information in diagnosis and localization of epilepsy. Currently there are many techniques for the diagnosis and monitoring of epilepsy. Artificial Neural Networks (ANN) have proved to be an effective approach for a broad spectrum of applications for EEG signals because of its self-adaptation and natural way to organize and implement the redundancy. This paper proposes a neural-network-based automated epileptic EEG detection system that uses Feed forward Artificial Neural Network incorporating sliding window technique for pattern recognition. This work utilizes 100 single channel EEG signals obtained from the database of Epilepsy Centre in Bonn, Germany. The algorithm was trained with 50 datasets and tested for 25 normal data and 25 epileptic data sets. The performance of classification using Feed forward Artificial Neural Network gave a high success rate of 93.37% for distinguishing normal signals and 95.5% for epileptic signals.

6. ECG based Individual Identification

(i) To identify the individual in a short span of time.

(ii) The trained model was saved and the ECG is batch processed.

The project used 30sec palm ECG to identify the individual. The palm ECG would have artefacts. These are removed by hardware filters. The points PQRST are determined automatically. Various time and amplitude features are extracted and fed into PNN network.

7. Fiber detection using Microscopic images

The resizing of images was not possible as it affect the position. So computation power was needed, but investment at an early stage was not possible for the client. So we gone for a solution by splitting the images into small pieces and applied CNN.

The idea is to find the presence of fibers in images with its position and length. The presence of fiber is detected using CNN by splitting images into smaller pieces and applying resnet (in modified form). We got 80% accuracy for it. In phase 2, sematic segmentation is done and fibers are found. Open cv is used to find the start and end point of fibers.

Click here to see complete case study